ブログ
2025年11月18日 火曜日
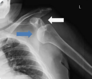
肩関節脱臼の件
先日、学術大会が千葉県柔道整復師会館(千葉市中央区)にて開催。リモートで参加。各会員の発表、「ラジオ体操のアップデート」「三果骨折の一症例」「ゼロポジション法を用いた肩関節前方脱臼の整復及び後療法」は興味深く視聴させて頂きました。午後は匠の技、これまた、肩関節脱臼の整復法の実技。ヒポクラテス法(踵骨法)の解説。当院も使用する方法ですが、今第一選択ではないとか。スティムソン法(重りぶら下げ法)、コッヘル法等々あります。開業して2.3症例、とんと来院されませんが、元来、未だ、ほねつぎ。心の準備は満タンです

投稿者 岡崎整骨院
新着情報
2025/11/18NEW
2025/11/16NEW
2025/11/13NEW
2025/11/11
2025/11/08
アクセス
- 【住所】
- 〒273-0134
千葉県鎌ケ谷市西佐津間1丁目19−27 ハイツ岡崎
(ホームページを見たとお伝えください) - 【電話番号】
- 047-498-5556
- 【受付時間】
- 9:00~12:00
15:00~20:00
※土日は午前のみ


